Una bebé nace ‘embarazada’ de gemelos en Hong Kong
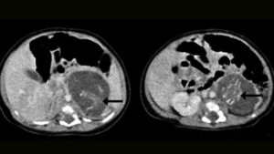
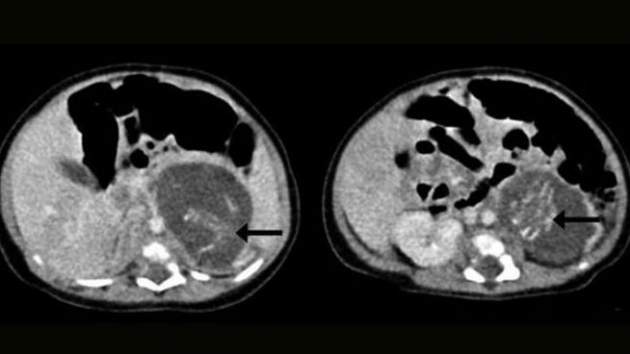
Se da en uno de cada 500.000 nacimientos y se conoce en términos médicos como ‘fetus in fetu’. Ha sido en Hong Kong (China) donde se ha diagnosticado el último caso de este acontecimiento tras encontrársele a una bebé de tres semanas dos fetos de mellizos en el vientre. El ‘fetus in fetu’ suele producirse por un fallo en la formación del cigoto antes de la formación del embrión, lo que conlleva que rara vez tenga órganos internos funcionales. En el caso aparecido en China, los fetos, de ocho y diez semanas de gestación, tenían formadas las piernas, los brazos, la columna y parte de los intestinos.
En declaraciones a ‘Mirror’, el Dr. Yu Kai-man, especialista en ginecología y obstetricia, ha señalado que la concepción natural por parte de la bebé es imposible. «Los gemelos son de los padres. Lo que ocurrió es que, simplemente, el proceso de fertilización ocurrió por el lado equivocado».
Los fetos le fueron extirpados a la bebé, que fue dada de alta del hospital ocho días después. El caso, por su carácter extraordinario, se detalla en el último número de la revista Hong Kong Medical Journal, donde se especifica que solo se conocen unos 200 casos en todo el mundo de ‘fetus in fetu’.

